先天性疾患 心膜横隔膜ヘルニア整復
腹膜心膜横隔膜ヘルニア(Peritoneopericardial Diaphragmatic Hernia;PPDH)は、「心膜横隔膜ヘルニア」とも呼ばれる、先天的に発生するまれな疾患です。この病気は、胸とお腹を隔てている膜である横隔膜が胎児期にうまく形成されないことで発生します。正常であれば、横隔膜は胸腔(心臓や肺がある空間)と腹腔(肝臓や消化器がある空間)をしっかりと分けています。しかし、横隔膜ヘルニアでは横隔膜の中央部分に欠損(穴)が生じ、この欠損部が心膜(心臓を包む薄い膜)と癒合してしまうことにより、腹腔内の臓器が胸腔内、特に心膜腔に逸脱してしまう異常な状態となります。
症状
このような構造異常により、肝臓、小腸、胃、脾臓などの腹部臓器が心膜内に入り込むことがあり、心臓周囲のスペースが圧迫されることで、さまざまな臨床症状を引き起こす可能性があります。ただし、横隔膜ヘルニアは非常に稀な疾患であり、その多くが無症状または軽度の症状にとどまるため、他の疾患の検査中や健康診断の画像検査などで偶然に発見されるケースが多く報告されています。
過去の報告によると、PPDHと診断された犬や猫の約半数は偶発的に見つかっており、多くの動物では目立った臨床症状を呈しません。しかし、横隔膜の欠損孔が大きく、脱出する臓器の種類や量が多い場合には、呼吸器や消化器に関わる症状が出現することがあります。呼吸器症状としては、努力性呼吸(お腹の筋肉を使った苦しそうな呼吸)や頻呼吸(呼吸の回数が多い)、咳などが見られます。消化器症状には、食欲の低下、元気消失、嘔吐や下痢などがあり、脱出した臓器が腸や胃である場合に多く見られます。
ただし、これらの症状は常に現れるわけではなく、PPDHに特有な症状とは断定しにくいという特徴もあります。また、腸管が心膜腔内で嵌頓(かんとん)すると急性の激しい嘔吐が見られることがあり、肝臓が陥入した場合には、肝酵素の上昇や黄疸が確認されるケースもあります。さらに稀ではありますが、心膜内の圧力上昇によって心臓の機能が急激に低下する「心タンポナーデ」を引き起こし、突然死した例も報告されています。
診断
PPDHの診断には、胸部X線検査や超音波検査が有効であり、心膜腔内に腹部臓器が見られることで診断がつきます。場合によってはCT検査やMRIなどの高度画像診断も用いられ、他の胸腔内疾患との鑑別に役立ちます。
治療
治療法は基本的に外科的修復となります。全身麻酔下で、心膜腔内に逸脱した腹部臓器を丁寧に腹腔内へ戻し、横隔膜の欠損部を縫合して閉鎖します。手術後には、術前に見られた臨床症状の約85%の症例で改善が見られるとされており、特に呼吸状態や食欲不振などの症状は比較的速やかに回復する傾向があります。
症例紹介
症例は、 スコティッシュフォールド、7か月齢、未避妊の女の子です。ヘルニアの整復を行うにあたり、避妊手術も同時に行いました。
症状
今回は嘔吐などの症状は特にありませんでした。
検査・診断


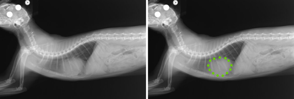
手術の様子
緑の点線が囲っている場所が横隔膜にあいた穴から肝臓が入り込んでいるところです。鉗子を使って周囲の膜をはがしていきます。

ヘルニア孔をみつけて胸の中に入り込んでいる肝臓を引き出します。
肝臓を戻したらヘルニア孔を縫合して閉じていきます。

孔を完全に閉じる前にチューブを挿入して胸腔内の空気をできるだけ抜去します。
完全に孔を閉じます。あとはお腹の皮膚を閉じて手術終了です。

本症例は術後の経過もよく、現時点では再発もなく元気に過ごしています。
ただし手術後も一部の症状が継続することがあり、特に重度の食道炎、慢性的な咳、胸腔内にリンパ液がたまる「乳び胸」や、断続的な嘔吐などが術後に残る可能性も報告されています。また、術中または術後に出血、呼吸停止、低血圧などの合併症が起こることがあります。術後の死亡率は8.8~14%とされており、手術の際にはメリットとデメリットを慎重に検討する必要があります。
一方で、長期的な予後(生存期間)に関しては、経過観察と外科的治療の間で明確な差は認められていないという研究結果もあります。しかし、特に若齢時に臨床症状が現れている症例では、今後の合併症リスクを考慮して外科的治療を選択する飼い主が多いです。個々の症例ごとに、動物の年齢・全身状態・飼い主の希望などを総合的に判断し、最適な治療方針を決定しています。
術後の合併症として気胸(胸腔内に空気がたまる状態)が発生する可能性があり、修復した横隔膜が何らかの原因で再度裂けて再発するケースも稀に報告されています。術後も慎重な経過観察が重要です。
その他の記事
-
副腎皮質機能低下症(アジソン病)について解説 | 最近いつもより元気や食欲がないは病気のサインかも?~症状編~
こちらの記事では副腎皮質機能低下症の症例で認められる症状について解説していきます。 副腎皮質機能低下症では欠乏するホルモンによって見られる症状が異なります。 …
2か月前 -
犬の股関節脱臼の外科的整復(大腿骨頭切除)
犬の起こりやすい外科疾患の中に股関節脱臼というものがあります。股関節脱臼は全ての外傷性脱臼の中でも最も発生が多く、全ての年齢に起こり、犬種や性差に関係なく発生します。主…
12か月前
-
紐状異物
紐状異物は危険な異物の一つで、特に猫に多く見られます。 消化管は食べ物を消化・吸収するために蠕動運動をしています。紐によって手繰り寄せられた消化管は、蠕動運動によって…
3年前 -
犬の脾臓腫瘍
犬の脾臓腫瘍は中・高齢で好発し、1/3~1/2が悪性とされています。腫瘍破裂や出血により劇症を呈することもあれば、症状が認められない場合も少なくありません。今回紹介…
3年前 -
若い子に稀に見られる先天性門脈体循環シャントとは? │ 早期発見や実際の治療法について
先天性門脈体循環シャントは主に若齢の犬ちゃんや猫ちゃんで稀に認められる病気です。 この疾患は特異的な臨床症状を示さないこともあり、詳しい検査をしないと見つからないこと…
5か月前 -
副腎皮質機能低下症(アジソン病)について解説 | 最近いつもより元気や食欲がないは病気のサインかも?~症状編~
こちらの記事では副腎皮質機能低下症の症例で認められる症状について解説していきます。 副腎皮質機能低下症では欠乏するホルモンによって見られる症状が異なります。 …
2か月前 -
犬・猫の去勢手術
【去勢手術のタイミングは?】 去勢手術をするにあたって、この時期・この年齢に必ず受けないといけないというものはございません。しかし、子犬・子猫ちゃんの場合は、性成熟を…
2年前 -
食道バルーン拡張術にて治療した食道狭窄の猫の1例
食道狭窄とは食道内腔が異常に狭くなることで嚥下障害が生じる病態のことを言います。 主な原因としては、薬物や化学物質による化学的な粘膜傷害、過度な嘔吐や胃酸の逆流(逆流…
11か月前 -
ノミ・ダニ予防
ノミやダニと聞くと、痒いというイメージを持たれる方が多いと思います。しかし、ノミやダニは痒みを引き起こすだけでなく、わんちゃんや猫ちゃん、さらには人にも様々な病気を引き起こ…
2年前 -
猫の子宮蓄膿症は若い子でも発症する?原因と治療について。
「子宮蓄膿症」とは、避妊手術をしていない女の子の犬/猫ちゃんの子宮に細菌が感染し、膿が溜まってしまう病気です。 今回は猫の子宮蓄膿症について詳しく解説します。 …
1年前
