2025年10月28日
副腎腫瘍について解説 | よくお水を飲む、尿が薄くて多いは病気の初期症状かも!? ~検査・診断編~
こちらの記事では副腎腫瘍の症例での必要な検査や診断について解説していきます。
副腎腫瘍では診断するためには様々な検査が必要になってきます。
ぜひ最後までお読みいただいて参考にしてください。
必要な検査および診断は?
1. 画像検査
腹部超音波検査
副腎の大きさや形などを把握する検査です。比較的容易な検査であり、腹部超音波検査で副腎腫瘍が見つかることが多いです。副腎腫大が片側の場合は副腎腫瘍、両側の場合は下垂体腫瘍の可能性が高いとされています。
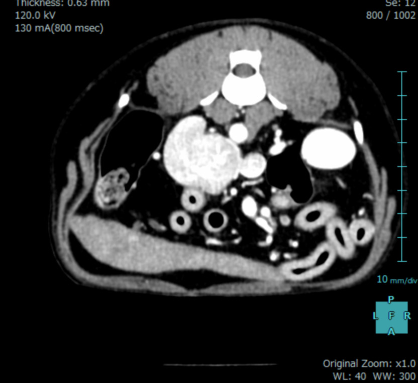
CT検査
麻酔が必要ですが、超音波検査よりも詳細に、副腎の大きさや形、周囲の血管との位置関係や浸潤の有無の判定が可能です。手術計画を立案するうえで必要不可欠な検査であり、造影CT検査は腫瘍の種類の鑑別に役立つ場合があります。



2. 内分泌検査
副腎腫瘍にはホルモンを過剰に産生する機能性腫瘍とホルモンを産生しない非機能性腫瘍があります。それらを鑑別するために内分泌検査が行われます。
ACTH負荷試験、低用量デキサメサゾン抑制試験(LDDST)
コルチゾールの産生異常を評価する血液検査です。数値が高ければ、機能性腫瘍が疑われます。
尿コルチゾール・クレアチニン比(UCC)
血中のコルチゾールの一部は尿に排泄されるため、尿検査でコルチゾール過剰を評価できる場合があります。
高容量デキサメサゾン抑制試験(HDDST)
副腎腫大が下垂体性か副腎性かを判断するために用いられる血液検査です。
※これらの検査は診断に役立つ可能性がありますが、確定診断には組織病理検査が必要です。
‥‥‥‥‥‥‥‥‥‥‥‥‥‥‥‥‥‥‥‥‥‥‥‥‥‥‥‥‥‥‥‥‥‥‥
副腎腫瘍についてはこちらのリンクからそれぞれのページに飛べますのでご参考にしてください。
▼ 副腎腫瘍とは?
▼ 治療について
その他の記事
-
アレルギー食|たくさんありすぎてどれを選んでいいか分からない?種類と使い分けについて
ペットショップや薬局のペットフードコーナーで「アレルギー体質の子向け」と書かれたフードを見かけたり、獣医さんから「アレルギーかも」と言われたことはありますか? アレル…
5か月前 -
鼻梁にできた多小葉性骨腫瘍
多小葉性骨腫瘍は犬の頭蓋骨にできることの多い骨の腫瘍です。局所で拡大し脳を圧迫することで神経症状を示すことも少なくありません。今回は鼻梁部(鼻と頭蓋骨の間)にできた多小葉性…
3年前
-
副腎腫瘍について解説 | よくお水を飲む、尿が薄くて多いは病気の初期症状かも!? ~症状編~
こちらの記事では副腎腫瘍の症例で良く認められる症状について解説していきます。 副腎腫瘍の性質や種類によって出てくる症状は様々になります。 ぜひ最後までお読みいた…
2か月前 -
ノミ・ダニ予防
ノミやダニと聞くと、痒いというイメージを持たれる方が多いと思います。しかし、ノミやダニは痒みを引き起こすだけでなく、わんちゃんや猫ちゃん、さらには人にも様々な病気を引き起こ…
2年前 -
副腎腫瘍について解説 | よくお水を飲む、尿が薄くて多いは病気の初期症状かも!? ~治療編~
こちらの記事では副腎腫瘍の症例での必要な治療について解説していきます。 副腎腫瘍の治療では大きく外科治療と内科治療に大きく分けられます。 それぞれの治療法を解説…
1か月前 -
両側に胸腔ドレーンを設置し救命した膿胸の猫
救急診療時間内にきた膿胸の猫の一例を紹介いたします。 症例 雑種猫 1歳 避妊メス 数日前から元気がなく今日になって呼吸が苦しそうとのことで来院されました。…
1年前 -
副腎皮質機能低下症(アジソン病)について解説 | 最近いつもより元気や食欲がないは病気のサインかも?~治療編~
こちらの記事では副腎皮質機能低下症(アジソン病)の症例で必要な治療について解説していきます。 副腎皮質機能低下症(アジソン病)は、生涯にわたる投薬が必要になりますが…
7日前 -
腹腔鏡補助下で実施した潜在精巣摘出術
潜在精巣とは片側または両側の精巣が陰嚢内に下降していない状態をいいます。ビーグルや雑種犬における精巣下行のタイミングは生後30~40日と言われており、2ヶ月齢の時点で精巣…
1年前 -
消化器科
『消化器疾患』吐出、嘔吐や下痢、食欲不振や体重減少などが認められたら消化器疾患を考えます。消化器とは、口、のど、食道、胃、小腸(十二指腸・空腸・回腸)、大腸、肛門まで続く消…
2年前 -
副腎皮質機能低下症(アジソン病)について解説 | 最近いつもより元気や食欲がないは病気のサインかも?~症状編~
こちらの記事では副腎皮質機能低下症の症例で認められる症状について解説していきます。 副腎皮質機能低下症では欠乏するホルモンによって見られる症状が異なります。 …
3週間前
