2022年9月27日
肥満細胞腫
肥満細胞腫は、犬の皮膚腫瘍のうち20%前後を占めるため、犬の腫瘍では遭遇することの多い疾患にあたります。主にしこりの付近のリンパ節、続いて肝臓、脾臓へ転移することも多いため、体表にしこりを見つけた際には全身の検査が必要になります。肥満細胞腫は、性質上、そのしこりをむやみに触ったりぶつけたりなどの刺激を与えることでその周囲が赤く腫れ上がったり、浮腫んだりすることがあります(これをダリエ兆候といいます)ので、しこりが腫れてきた場合にも注意が必要です。
8歳、ボストンテリア、雄。
当院で初めてワクチン接種をする際、数年前からある大きさの変化のないしこりの相談を受けました。
しこりは左大腿部と左の第5乳腺領域の2ヶ所にありました。細胞診検査(針を刺して、とれた細胞を染色して顕微鏡でみる検査)を行い、肥満細胞腫と診断しました。
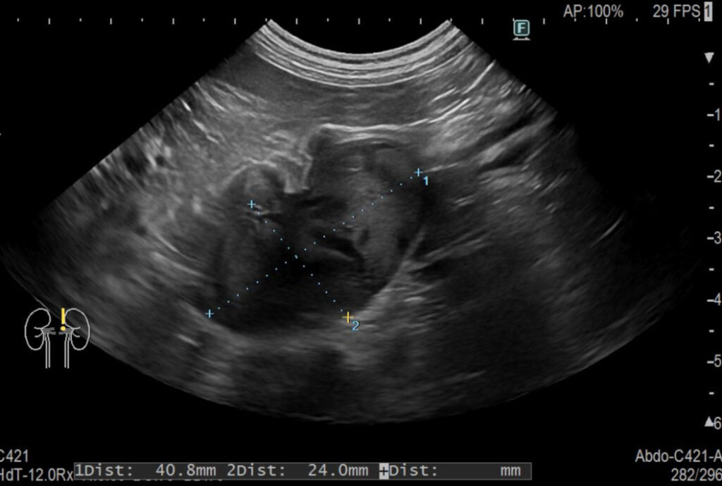
X線検査、超音波検査、細胞診検査で明らかな遠隔転移は認められなかったため、腫瘍の摘出とステージングのための領域リンパ節切除を実施しました。サージカルマージンは水平で1.5cm、底部で筋膜1枚としました(図)。
病理検査ではKiupel分類(2段階評価)で低グレード、Patnaik分類(3段階評価)でグレードⅡ、リンパ節転移はなく、完全切除が達成されました。
手術後、現在は再発もなく元気に過ごしています。
肥満細胞腫は、グレードが低く完全切除が達成されれば、予後が良好な腫瘍疾患です。
別名「偉大なる詐欺師」とも呼ばれ、その見た目だけでは判断が難しい腫瘍です。昔からあるしこりでも、予防のときや何かの折に獣医さんに相談しましょう!
その他の記事
-
泌尿器科
泌尿器とは泌尿器とは、腎臓、尿管、膀胱、尿道などからなる器官の総称で、血液をろ過して尿を作り、体内の水分や塩分のバランスを調整する働きをします。 高齢になると腎臓…
3年前 -
高悪性度消化器型リンパ腫を外科摘出後、抗がん剤を行なった猫
消化器型リンパ腫は猫のリンパ腫のうち最も多くの割合を占めるものであるのと同時に、猫の消化管において最も発生率の高い腫瘍としても知られています。 症例 猫 雑…
2年前
-
リンパ節生検を実施した犬の小細胞性リンパ腫/慢性リンパ球性白血病(CLL)の症例
慢性リンパ球性白血病(CLL)は腫瘍化したリンパ系細胞が分化能を有しているために成熟リンパ球が増加する疾患で、腫瘍性病変の原発部位が骨髄である場合は慢性リンパ性白…
1年前 -
内視鏡で誤食した釣り針を摘出
釣り針を食べてしまったとの事で来院した7カ月のワンちゃん。 X線検査を実施すると胃の中に釣り針が・・・。 釣り針のような尖ったものは…
3年前 -
慢性腸症
慢性腸症の定義 『対症療法に抵抗性または再発性で3週間以上続く慢性の消化器症状を呈し、一般的な血液検査や画像検査で原因の特定には至らない、原因不明…
2年前 -
犬アトピー性皮膚炎|治療の2本柱
今回は犬アトピー性皮膚炎の治療方法について詳しくお話していきます。 犬アトピー性皮膚炎の病態についてはこちらで解説しているので合わせてご覧ください。 =====…
1年前 -
腹腔鏡下肝生検
ワンちゃんやネコちゃんでも健康診断で肝臓の数値が高い子を多くみかけます。一般的には症状がなく、元気そうにみえる子がほとんどですが、重病が隠れていることもあります。 …
2年前 -
酸素中毒とは? | 酸素濃度は高ければいいわけではない!気を付けたい酸素中毒について
皆さんは "酸素中毒" というものをご存じでしょうか。スキューバダイビングなどで酸素ボンベを使ったことがある方は耳にされたことがあるかもしれませんが、実は酸素にも中毒があ…
3年前 -
犬と猫の副腎腫瘍について解説 | よくお水を飲む、尿が薄くて多いは病気の初期症状かも!? ~症状編~
こちらの記事では副腎腫瘍の症例で良く認められる症状について解説していきます。 副腎腫瘍の性質や種類によって出てくる症状は様々になります。 ぜひ最後までお読みいた…
5か月前 -
皮膚科
皮膚疾患はワンちゃんや猫ちゃんが予防以外で動物病院を受診する理由としてTOP3に入り、当院でも皮膚疾患で受診される方が多くいらっしゃいます。「痒がっている」、「皮膚が赤く…
3年前
